Facial Pain

Facial pain may be caused by many conditions such as toothache, infections around the teeth or jaws, sinus disease from the upper jaws, neuralgia and rarely cancer from the oral, nasal or throat cavities.

Diagnosis is made by taking a full and careful history of the pain and, if required, x-rays and/or scans. This may well involve liaising with other specialists such as neurologists, clinical psychologists, psychiatrists, pain clinic specialists and rarely neurosurgeons.

Mr Kumar is regularly referred patients for further examination, diagnosis and management thereafter.

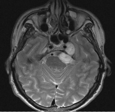
Brain Tumour Causing Left Sided Facial Pain
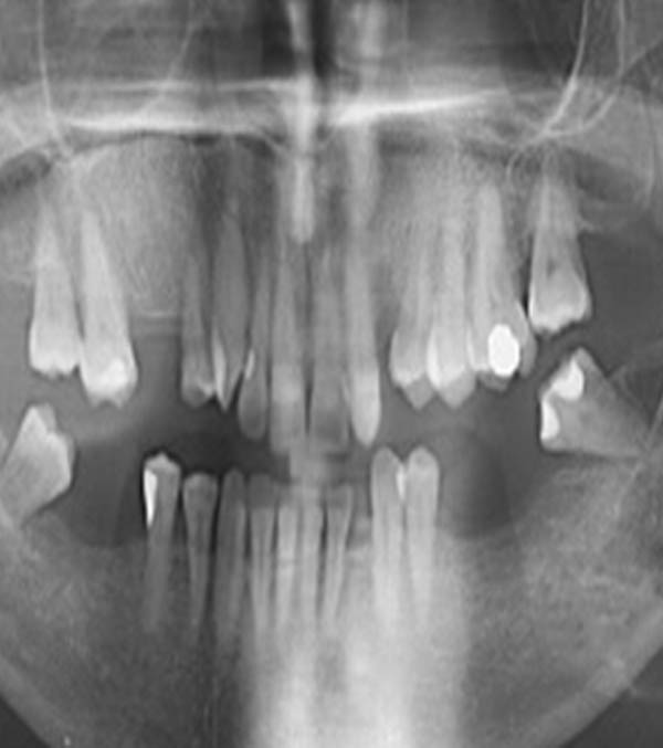
Enlongated Bone Causing Facial Pain
Brain Tumour Causing Facial Pain
Brain Tumour Causing Pain