Red and White Patches

There are many causes of red and white patches, a form of lesions, inside the mouth which include infections such as thrush, trauma, rubbing of dentures or fillings or abnormal changes in cells such as oral carcinoma.

These can often cause soreness within in the mouth and in some cases no symptoms are experienced. These lesions carry a risk of transforming into cancer and if one has been present for three weeks or more, the patient is often referred to a specialist for further diagnosis.

Mr Kumar regularly treats patients with these lesions and performs diagnostic biopsies if required.

Abnormal White Patch On Side Of Tongue
Fissured Tongue
Geographic Tongue
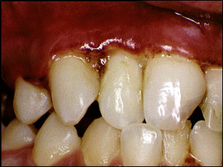
Gingivitis
Infected Gum Of Wisdom Tooth
Oral Submucous Fibrosis
Sore Tongue
Viral Infection