Root Surgery

If the nerve inside a tooth dies, root canal treatment is often required and this will be carried out by the patient's dentist or endodontist.

If this treatment does not solve the problem or the root has become affected with a cyst, the patient may be referred to a specialist for root surgery treatment.

Mr Kumar is regularly referred patients by dentists and other specialists to perform surgery to the roots and the removal of associated cysts where required.

Infected Root
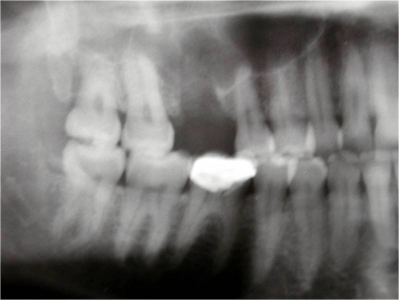
Multiple Root Problems
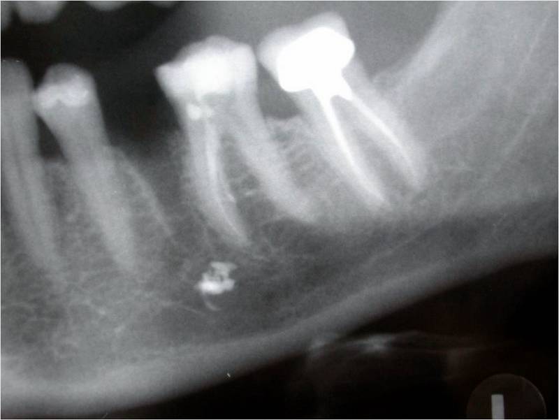
Numb Lip Caused By Root Material
Root Canal Material In The Jaw
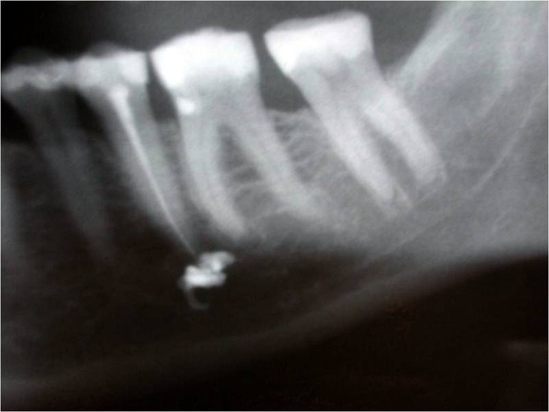
Root Canal Material In The Nerve Canal