Oral Medicine

Oral medicine is the diagnosis and treatment through medication alone for conditions found around the mucosa lining the mouth, the cheeks, tongue, palate, gums and floor of the mouth. These diseases are seen as lesions and can cause soreness, dryness, ulcers, blisters and red or white patches.

There are many causes of oral conditions inside the mouth from decreased amount of saliva, deficiencies in the blood such as anaemia, use of prescribed or non-prescribed drugs, a side effect of other diseases such as Sjogren's syndrome or psychological problems. Treatment may involve using steroid, painkillers, antiseptic mouth washes or specialist medication.

Mr Kumar is regularly referred patients for diagnosis of these oral conditions, which may involve a biopsy or blood test, and provides full treatment and aftercare.

Bullet Hole In Palate (Roof Of Mouth)
Lip Inflammation: Cheilitis
Brown Staining Of Tongue
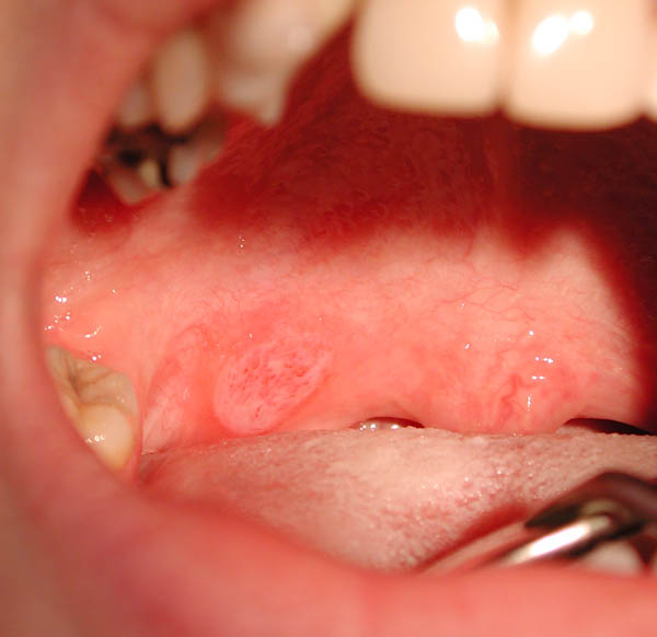
Ulcer On Palate
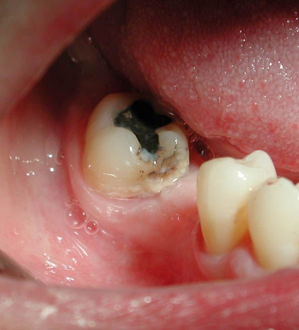
Decayed Molar Tooth
Fatty Lump In Lower Lip (Lipoma)
White Patch On Cheek (Lichen Planus)
Sore Gums (Lichen Planus)
Ulcer On Tongue: Medicine Related
Stained Teeth
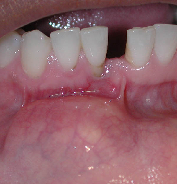
Lump On Gum
Ulcers On Palate (Roof Of Mouth)
Infection Draining From Molar Tooth