Facial Trauma

Facial trauma is typically as a result of road traffic accidents, interpersonal violence or sports injuries. Injuries can affect the facial skeleton, the overlying soft tissue, the skin or internal to the mouth.

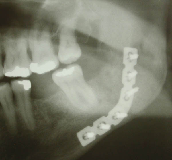
Treatment of the facial fractures may require repositioning of the fractured bones into their normal position with the aid of metal plates. Following severe facial injury, residual problems or deformities can occur and routinely the treatment involves revision of the scars on the face or correcting facial deformities.

Facial anatomy is quite complex and as a consequence requires specialist management by maxillofacial surgeons. Mr. Kumar and his team are regularly referred facial trauma patients for treatment and aftercare facial and oral rehabilitation.

CT Scan Of Fractured Cheekbone And Orbit
CT Scan Of Midfacial Fractures
Repaired Ear Laceration
Fractured Jaw Plated
Fractured Front Teeth With Simple Splint
Photo Of Black Eye And Fractured Cheekbone